A short thread...
hip and groin cases are often complex & can involve multiple pain drivers, esp but the time the pt finally presents to SEM clinic. I like imaging(!
), it can be useful but can also open a can of worms / be misleading. The history & exam always trumps the scan.
hip and groin cases are often complex & can involve multiple pain drivers, esp but the time the pt finally presents to SEM clinic. I like imaging(!
), it can be useful but can also open a can of worms / be misleading. The history & exam always trumps the scan.
1. 60 yr old man with 1 yr R groin pain radiating to testicle. Shooting, aching, occ parasthesiae. Sometimes Sx with coughing & raising intra-abdominal pressure. Long term mild LBP; groin pain when pivots / turns; no GU symptoms / red flags.
2. exam - Tender ++ through ext ring and over symphysis, subtle cough impulse. Mild pain hip FADIR. Still all ROM LSp esp extension. Weak adductors ++ but no pain. Sit ups provocative.
No improvement with 3/12 load Rx, various trunk, hip, add / abd, mobility work.
No improvement with 3/12 load Rx, various trunk, hip, add / abd, mobility work.
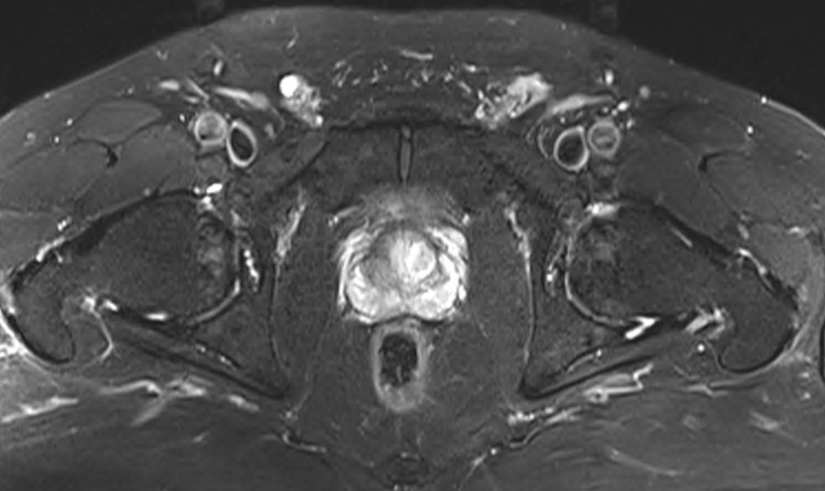
4. mri symphysis oblique axial views (& sagittal) normal - no pubic stress, conjoint tendon, add origin pathology etc
5. Dynamic ultrasound inguinal canal - very small direct hernia - is this significant? Also seen contralateral side.
6. request mri LSp - spondylolisthesis L5/S1 and facet hypertrophy causing nerve root compression (bilateral!), associated disc Modic 1 changes
7. So - is it nerve root? Facet? Somatic discogenic pain - relevance of Modic 1 changes? Is it the small hernia? Occult inguinal soft tissue / external ring driver - often underestimated on mri - with genitofemoral nerve component? Is it the hip joint (prob not).
8. lots of potential abnormalities (which could be found in a pain free population). imaging is valid at this point, but it has maybe created more questions than answers. But at least rules out âred flagâ.
back to the Hx/ Sx, exam - its spinal or inguinal. How to proceed?
back to the Hx/ Sx, exam - its spinal or inguinal. How to proceed?
9. agreed USG canal LA block to understand inguinal driver before considering more invasive, unpredictable spinal intervention options.
No change with block & on provocation ....pt keen to continue work on spinal focused rehab & endurance before ? epidural / facet injection
No change with block & on provocation ....pt keen to continue work on spinal focused rehab & endurance before ? epidural / facet injection
Read on Twitter
Incidental in many norms.