#GIpath #Liverpath #pathresidents
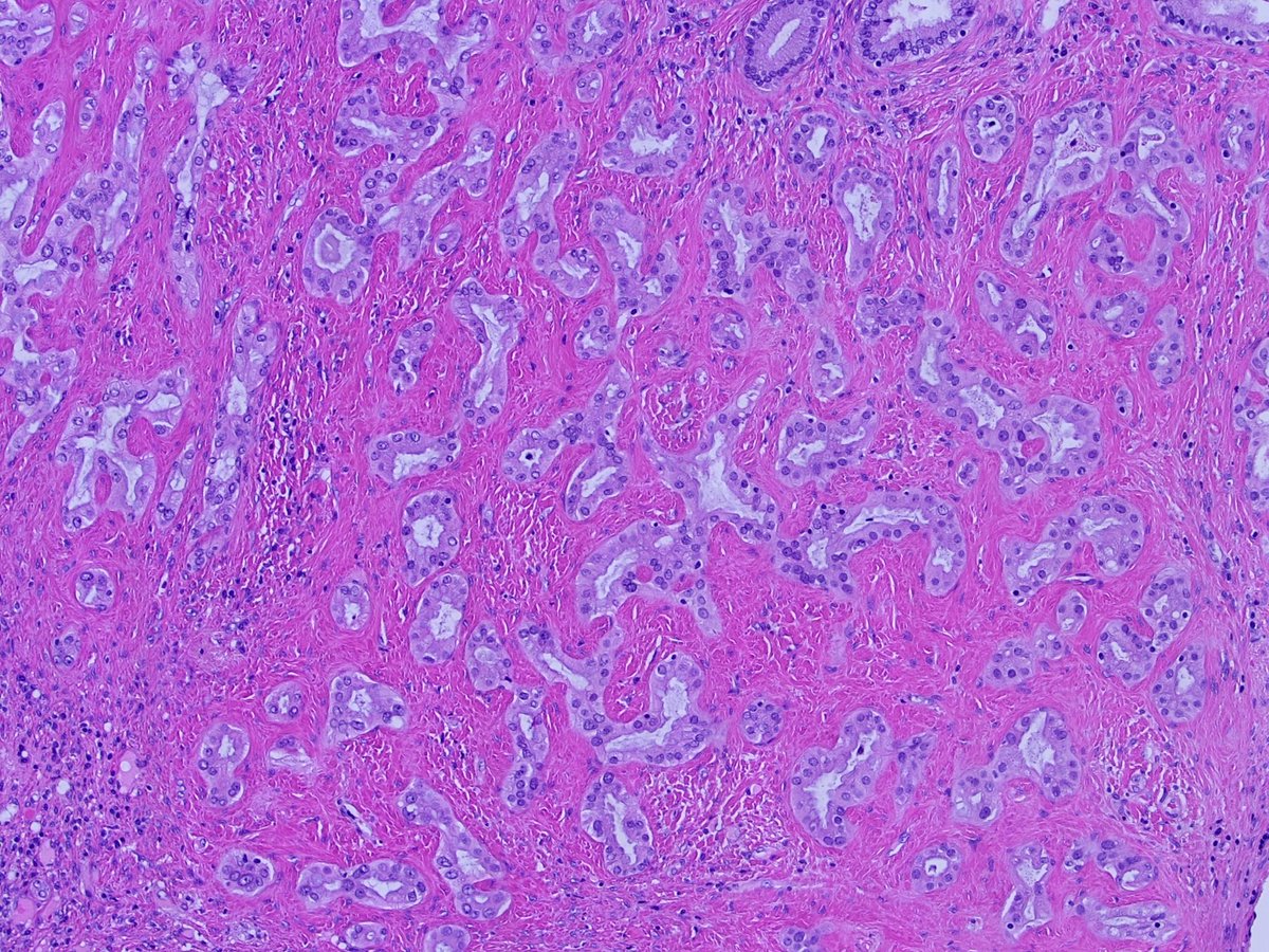
50 year old man; liver wedge resection. History of indeterminate pancreas lesion by imaging (chronic pancreatitis vs mass).
A few images, a poll, and a #tweetorial
50 year old man; liver wedge resection. History of indeterminate pancreas lesion by imaging (chronic pancreatitis vs mass).
A few images, a poll, and a #tweetorial
Diagnosis?
Discussion: I felt this was a nice case of bile duct adenoma. Some annotated images are posted below.
Thank you to @RhondaYantiss and @merepitt for letting me borrow the cancer images from their excellent & comprehensive review article on this topic: https://pubmed.ncbi.nlm.nih.gov/29751885/
Thanks all. FYI, the BDA was an incidental finding in a partial hepatectomy for HCC.
Sources:
1) https://www.amazon.com/Scheuers-Liver-Biopsy-Interpretation-Lefkowitch/dp/0702055484
2) https://www.amazon.com/Atlas-Liver-Pancreas-Pathology-Approach/dp/1496396979/ref=mp_s_a_1_1?dchild=1&keywords=torbenson+liver&qid=1612667529&sr=8-1
3) https://www.amazon.com/Practical-Hepatic-Pathology-Diagnostic-Recognition/dp/0443068038
4) Lecture notes from a CME course with @RhondaYantiss a couple years ago.
Sources:
1) https://www.amazon.com/Scheuers-Liver-Biopsy-Interpretation-Lefkowitch/dp/0702055484
2) https://www.amazon.com/Atlas-Liver-Pancreas-Pathology-Approach/dp/1496396979/ref=mp_s_a_1_1?dchild=1&keywords=torbenson+liver&qid=1612667529&sr=8-1
3) https://www.amazon.com/Practical-Hepatic-Pathology-Diagnostic-Recognition/dp/0443068038
4) Lecture notes from a CME course with @RhondaYantiss a couple years ago.
Read on Twitter