Patients might tolerate some lengthening and might tolerate some increase in offset. If you do both together, in the same hip, they’ll hate it. As people pointed out that was the case in this patient. https://twitter.com/exeterhipunit/status/1353473014525001728
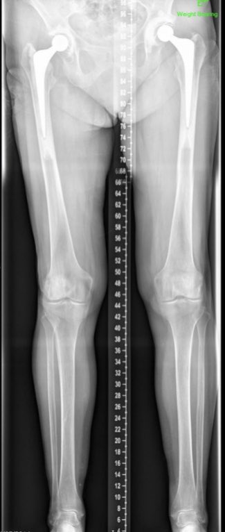
Leg length films really helpful for planning in many cases like this & with congenital proximal femoral deformity. The challenges in operating here are multiple
1. Will it help pain
2. How can you correct issues
3. Will reducing length and offset de- tension and risk instability
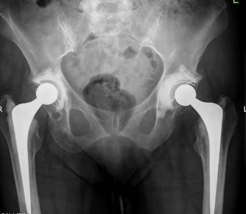
So the socket wasn’t medicalised into the cemented mantle at primary. The cement is well fixed in all but zone 1 where there is a lucent line. That can be managed with in cement revision. Ream out poly cup, burr medial cement away and recement new cup
However, issues with that technique are that there is a risk of relateralising with the in cement revision and, if worried about instability, the options for increasing head size are limited. That’s a small socket.
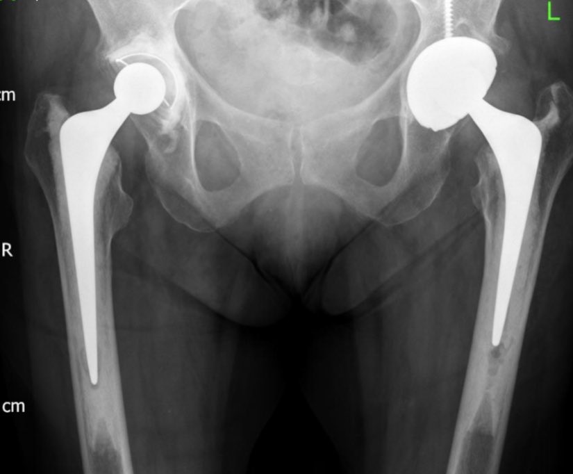
So decision made to remove all of the cement, ream and insert uncemented shell with modular dual mobility for stability in view of reduced tension.
On the femoral side, it’s interesting. The stem has been sunk in (the SID) similar (perhaps sl less) than the other side yet there is still a marked LLD. Perhaps some previous femoral issue. Regardless to correct the lengths, the stem needs to be sunk further into the mantle.
In order to do this the 44/00 in-cement stem is ideal. 25mm shorter than standard and small enough to fit into the mantle of a 0 stem. So some careful templating of the new SID helps here.
And here are the pre and post op films. Correction of length and offset. So far (several years) a stable hip and a delighted patient. Thankfully.
You can follow @ExeterHipUnit.
Tip: mention @twtextapp on a Twitter thread with the keyword “unroll” to get a link to it.

Latest Threads Unrolled:

By continuing to use the site, you are consenting to the use of cookies as explained in our Cookie Policy to improve your experience.