#idboardreview 30 F polyarthritis, migraine, multiple sclerosis on rituximab, prednisone, recent sinusitis,has school going kids presents in winter w/F, HA, photophobia, meningismus progresses to encephalitis. No improvement w/ acyclovir & antibiotics. Diagnosis? #medEd #idmedEd
CSF 250 wbc 13%neutrophils, 64%lymph & 18%macrophages, protein 500, glucose100
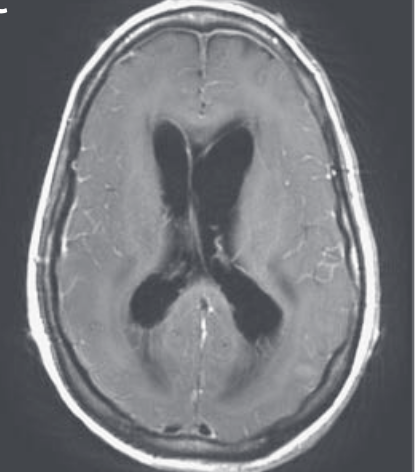
DDx for meningoencephalitis w/ mononuclear pleocytosis, inc opening pressure, normal glucose & inc protein. MRI diffuse pachymeningeal & leptomeningeal enhancement, sulcal hyperintensity in basal cisterns & cerebellum on T2, +hydrocephalus & no improvement on acyclovir and abx
rare #adenovirus meningoencephalitis
DDx: non-infectious: autoimmune or paraneoplastic but CSF for autoantibodies associated w/ autoimmune & paraneoplastic encephalopathy was reported to be negative
DDx: protozoa Acanthamoeba can be in immunocompromised & Balamuthia in immunocompromised &immunocompetent pts. usually cause a granulomatous meningoencephalitis, with single or multiple enhancing lesions visible on MRI
Ddx: endemic fungi (histo, blasto or coccidio unlikely as no history of exposure or travel to a region was given. Cryptococcus neoformans must be considered and r/o with csf anitgen
ddx: bacteria esp strep or listeria can be considered but should have improved w/ abx
Ddx: mosquito and tick borne are unlikely given winter. Ticks are generally inactive if air temp falls below 2°C; however, if ground is not covered by snow & soil temp reaches 7°C, ticks will search for blood hosts, & Ixodes scapularis remains active if temp is above freezing
DDx: HSV and VZV unlikely given progression despite acyclovir and also MRI not typical. EBV possible but causes cerebellar ataxia & cranial-nerve palsies usually
Ddx: HHV6 generally seen in HSCT pts
DDx: Influenza possible but usually doesnt cause CSF pleocytosis. JC virus with PML reported w/ rituximab but MRI findings not consistent. Echo/coxsackie typically summer/early fall
Adenoviruses can cause meningitis or meningoencephalitis as primary infection or as complication of systemic or respiratory infection in immunocompromised adults. Adenovirus is rare cause of meningoencephalitis as complication of severe pneumonia.
Among >50 serotypes of adenovirus, serotype 2 is most common serotype w/ meningoencephalitis & disseminated disease. Published reports of neuropathological features are scarce but show b/l sometimes symmetric, necrotizing lesions w/ striking predilection temp lobe/ventricles
No approved antivirals for prevention or tx of adenovirus infections. An oral, live-attenuated vaccine adenovirus serotypes 4 & 7 is available for U.S. military use only. Prevention relies on personal hygiene, including hand washing, contact precautions & water chlorination.
You can follow @IUIDfellowship.
Tip: mention @twtextapp on a Twitter thread with the keyword “unroll” to get a link to it.

Latest Threads Unrolled:

By continuing to use the site, you are consenting to the use of cookies as explained in our Cookie Policy to improve your experience.