odontoid fracture type II:
epic controversial discussions, how to treat them in the elderly, when #comorbidity index is high.
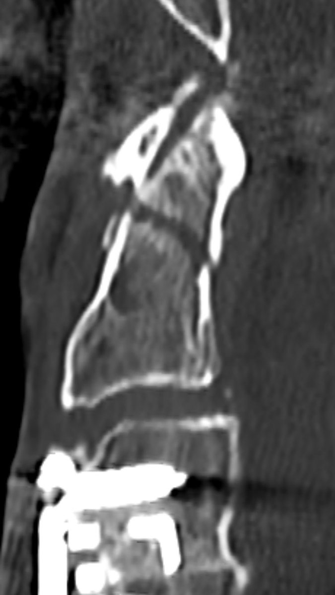
this is a #odontoid process/dens axis in a patient with radiculomyelopathy.
osteoarthritis of the atlantodental joint is present, too
a case thread
epic controversial discussions, how to treat them in the elderly, when #comorbidity index is high.
this is a #odontoid process/dens axis in a patient with radiculomyelopathy.
osteoarthritis of the atlantodental joint is present, too
a case thread
4 years later (after ACDF), he fell and sustained odontoid fracture type II according to Anderson/d’Alonzo. you see the fracture line - and no, it’s not “incomplete”, it’s for sure complete, just the positioning in the CTscan. As pain was no problem, we’ve put him in a collar
what would you have recommended in this 68yo patient if he was in your hospital?
and what (usually) do you do with a 40yo male patient? Just asking hypothetically, because I would treat them differently
follow up after 8 weeks (l) and 6 month (r) show non-union, as expected. It’s a pseudarthosis.
but he was painfree right after 2 month.
You can nicely see signs of remodelling, but the fracture line still remains.
but he was painfree right after 2 month.
You can nicely see signs of remodelling, but the fracture line still remains.
after 16 month, remodelling is still ongoing: surprisingly the atlantodental joint is now ankylosed and the fracture line is narrowed, but still not fused.
he had no pain, and a subjective sufficient function for daily activities. he was fine!
(CT was performed for other reason)
he had no pain, and a subjective sufficient function for daily activities. he was fine!
(CT was performed for other reason)
odontoid fractures type II should not be classified as “unstable”. this patient with his rigid spine was successfully treated without surgery. no severe pain. no severe dislocation. no neurologic deficits.
according to the Panjabi definition of spinal stability, it’s not unstable
according to the Panjabi definition of spinal stability, it’s not unstable
there is no spinal injury that is more individually treated as type II odontoid fracture. every is unique.
it’s a very heterogeneous group of patients. some are hiking and skiing, some have severe dementia.
age is not so important. activity and comorbidity matter.
it’s a very heterogeneous group of patients. some are hiking and skiing, some have severe dementia.
age is not so important. activity and comorbidity matter.
the vast majority of my elderly patients with odontoid fracture type II are fine with conservative treatment. ratio is like 90+ % conservative. I don’t want to downplay potential risks. they exist for sure. follow up / controls are important.
here a video of the reformatted sagittal CT
Read on Twitter