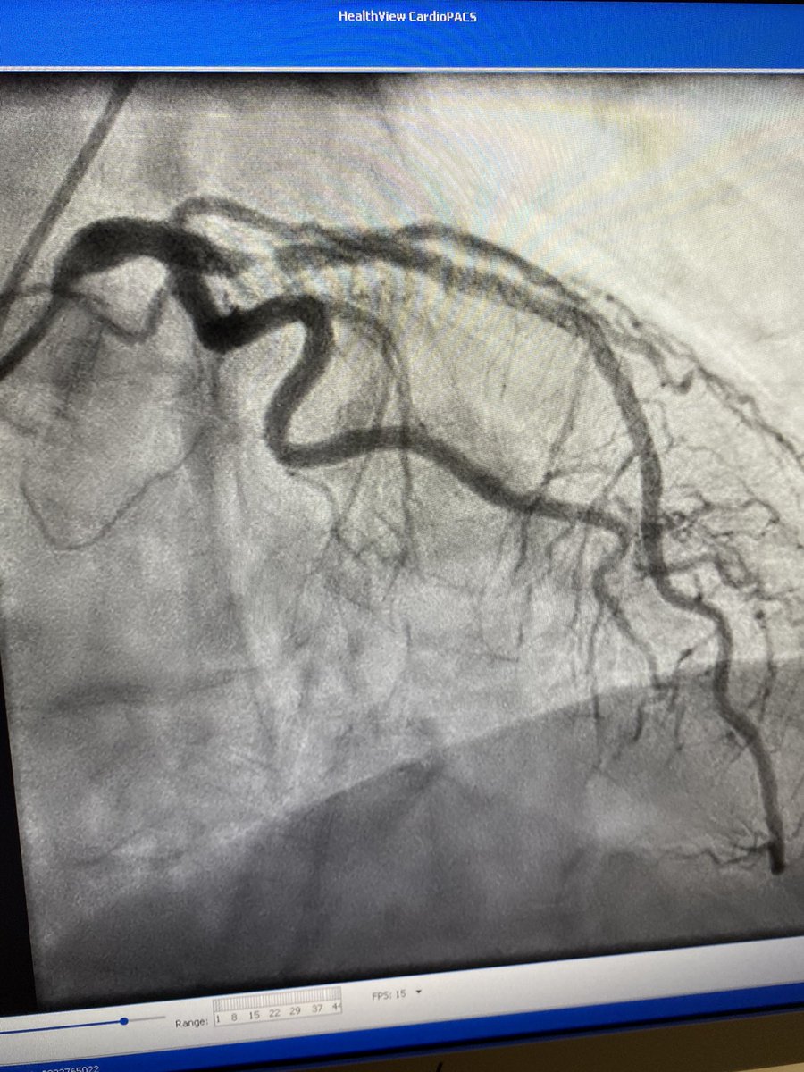
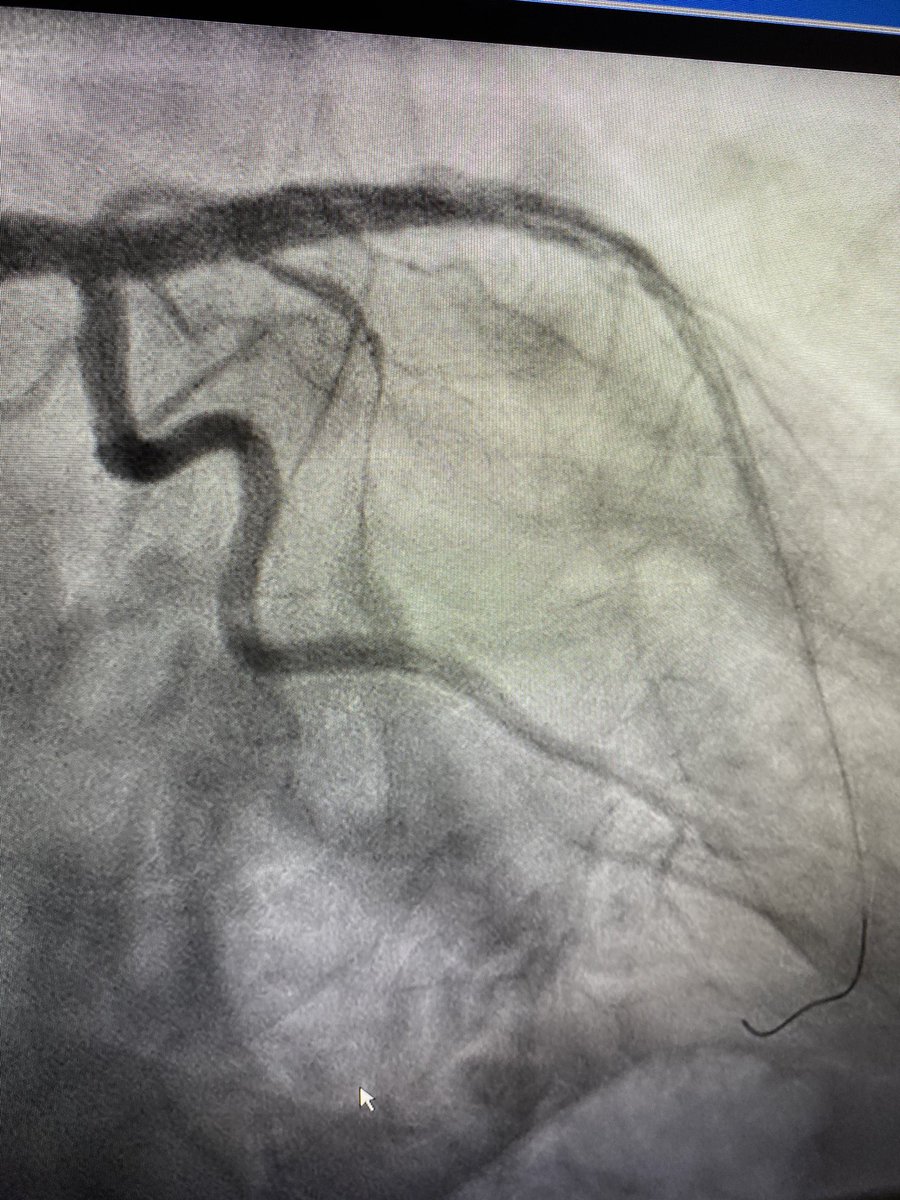
IVUS must be incorporated into you practice. 72 m with Recent LAD stent. Severe new denovo lesion at Prox stent edge. Stent placed 9 months prior.
IVUS showed prior LAD 2.75mm stent in 4.25 vessel and 4.5mm in more Prox segment.
Dropped new stent 4.5mm and postdilated old stent to 4.25mm. Post IVUS with excellent expansion and no more malapposition. Looks grossly oversized on post angio.
#accfit #cardiology #basics as a graduating fellow you have to master all intracoronary imaging modalities available at your institution (IVUS OCT) and push your attendings to image more if they are not already. 😁
You can follow @ifarooqMD.
Tip: mention @twtextapp on a Twitter thread with the keyword “unroll” to get a link to it.

Latest Threads Unrolled:

By continuing to use the site, you are consenting to the use of cookies as explained in our Cookie Policy to improve your experience.