Our paper is out in @Brain1878! We investigated brain cytokine expression and microglial morphology along the #Alzheimer’s continuum in people with #DownSyndrome: from fetal to adult stages 



https://doi.org/10.1093/brain/awaa326@mcgillu @t21rs @CdnDownSyndrome @ISTAART
Thread
https://twitter.com/Brain1878/status/1331732396073508865
In this comprehensive study we report a differential neuroinflammatory process across the lifespan of individuals with Down syndrome (DS). Key inflammatory mediators are exacerbated before the occurrence of overt #Alzheimer's disease pathology and wane at advanced stages.
1. We found an increase in inflammatory mediators in the conditioned media of Down syndrome fetal cortical cells
2. Microglial cells from children with DS (1–10 years) displayed increased soma size and higher soma size-to-process length ratio. IL-8 and IL-10 levels were significantly higher, while VEGF-A was lower in children with DS
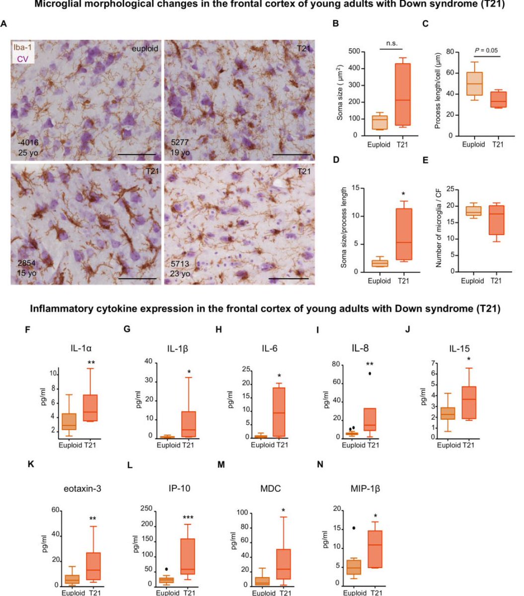
3. Young individuals with DS (13-25 years) also displayed a higher soma size-to-process length ratio and increased cortical levels of IL-8, IL-1a, IL-1b, IL-6, IL-15, eotaxin-3, IP-
10, MDC, and MIP-1b
10, MDC, and MIP-1b
4. Microglia from adults with DS displayed spheroidal swellings, process beading, fragmentation as well as hypertrophic and amoeboid morphologies. Increased microglial soma size, decreased process length and an increase in the soma size-to-process length ratio were also observed
4.1 In agreement with @alemartiniale and @ElzHead findings ( https://alz-journals.onlinelibrary.wiley.com/doi/full/10.1002/dad2.12113), we also observed an increase in dystrophic microglia in adults with DS with significant AD pathology.
4.2 Cytokines upregulated in the frontal cortex of adults with DS: IL-1b, IL-6, IL-8, IL-15, eotaxin-3, IP-10, MDC, MIP-1b, MCP-1, TARC. Surprisingly
, our analyses
also revealed a downregulation of IFNg, IL-12p40, IL-10
TNFa, and VEGF-A
, our analysesalso revealed a downregulation of IFNg, IL-12p40, IL-10
TNFa, and VEGF-A
4.3
- Adult females with DS displayed higher cortical levels of IL-6 and IL-8 than males with DS!


@MaTeFerretti @womensbrainpro
- Cytokine expression in adults with DS is region-specific as the hippocampus displayed a different inflammatory profile
- Adult females with DS displayed higher cortical levels of IL-6 and IL-8 than males with DS!



@MaTeFerretti @womensbrainpro - Cytokine expression in adults with DS is region-specific as the hippocampus displayed a different inflammatory profile
5. Rod microglia were increased in young adults and adults with DS. They were found forming trains along cortical layers and aligned to neurons bearing tau neurofibrillary tangles in adults with DS. @alemartiniale @ElzHead also found rod microglia in other brain regions in DS!
6. Finally, we also did multivariate analyses and found cytokine signatures that distinguish each DS-age group 



7. BIG thanks to all the brain donors and their families 
.
* The inclusion of individuals with DS in clinical trials would strongly contribute to improve treatment options for #Alzheimer in DS and in the general population * #ENDAlz @alzassociation @DrMariaALZ

. * The inclusion of individuals with DS in clinical trials would strongly contribute to improve treatment options for #Alzheimer in DS and in the general population * #ENDAlz @alzassociation @DrMariaALZ
And last but not least, thanks to our amazing collaborators and funding agencies! @IulitaMf @TWisniewskiMD #JorgeBusciglio @nyulangone @nyuniversity @ucimind @UCIrvine @NIH @FRQ_NT @Conacyt_MX @FRQS1 @JLFoundation
Read on Twitter