Young patient with shortness of breath, near syncope! What’s the “culprit”, how’d you interpret this deadly EKG?
#cardiotwitter
#cardiotwitter
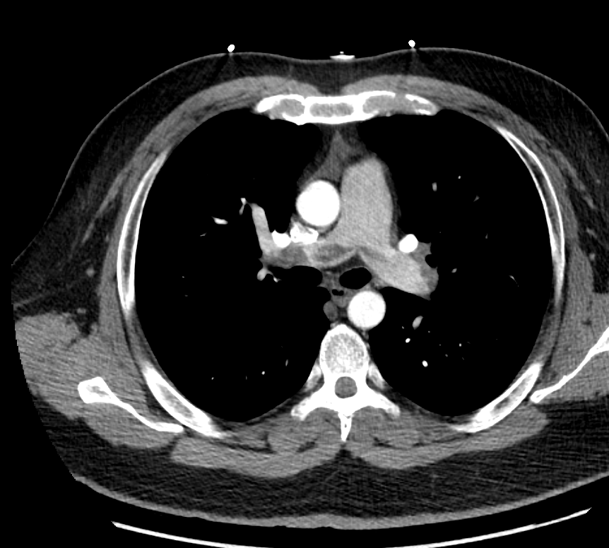
It’s important to recognize this deadly EKG because in right clinical context diagnosis can be made before CT angio. Sinus tachy, S1Q3T3, RBBB all new suggest RV strain. Massive saddle PE got tPA!
Went home however got re admitted with heart racing with activity. Repeat EKG, now what’s the culprit? @yourheartdoc1 @doconmoney @JdBapttiste @DBelardoMD @adityadoc1 @crisguedesb @INC_CathLab @doconmoney @DrM3k @EarlyAcc @ekgpdx @DrNasrien @KoushikReddyMD @Ricardo61234240
Repeat CTA (poor contrast bolus timing) persistent saddle PE
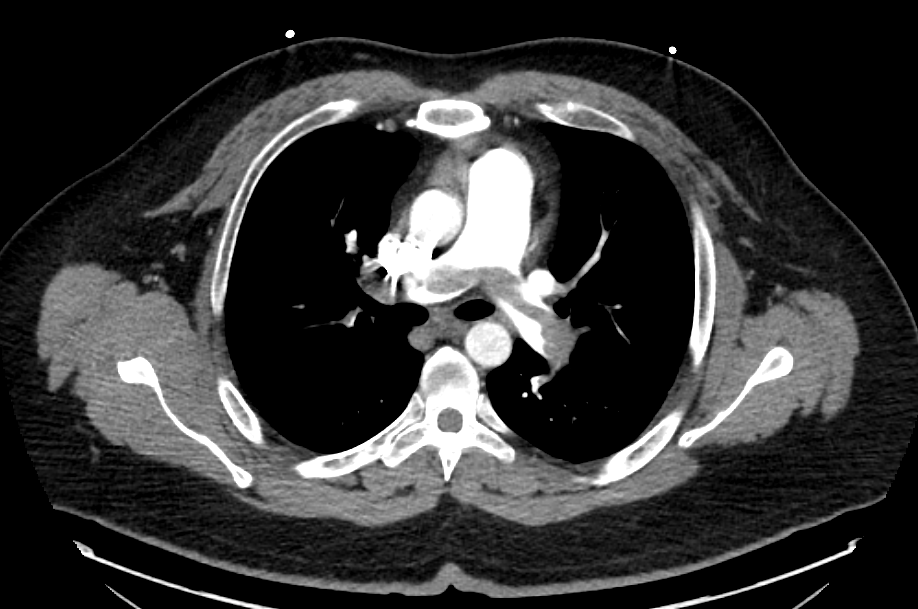
! Anyone has seen this? Despite tPA. persistent RVdilated reason for above EKG! @Yalecards @infeldMD @turilrh @jedicath @mirvatalasnag @jgloyo @PowellJose @karimratib @KHERA_MD @RealKushAgrawal @shiskumar33 @samikhan0
! Anyone has seen this? Despite tPA. persistent RVdilated reason for above EKG! @Yalecards @infeldMD @turilrh @jedicath @mirvatalasnag @jgloyo @PowellJose @karimratib @KHERA_MD @RealKushAgrawal @shiskumar33 @samikhan0
We went ahead and did CAT12 @PenVascular lightening embolectomy. It felt like tissue that’s why TPA failed! Patient did well!
@PLooserMD @purviparwani @cardioPCImom @davidsafley @mcbunte @djc795 @dandu_n @haseebqazi @DrAsifQasim @yaqoub_lina @Uqayyum123 @DrToniyaSingh
@PLooserMD @purviparwani @cardioPCImom @davidsafley @mcbunte @djc795 @dandu_n @haseebqazi @DrAsifQasim @yaqoub_lina @Uqayyum123 @DrToniyaSingh
Read on Twitter